Accessible Version
Sahar Yaftaly, DMD

Meet Dr. Sahar Yaftaly, DMD


Dr. Sahar Yaftaly strives to help every patient achieve a healthy smile. Her passion for dentistry began by volunteering at the Free Clinic of Simi Valley where she met her mentor, Dr. Josie Dovidio, who inspired her to pursue a career in dentistry. Her desire is to make every patient feel as if they are part of the family and offers enthusiasm while providing high quality comprehensive dental care. Dr. Sahar Yaftaly is a Simi Valley native and is thrilled to be able to serve the community in which she was raised.

Our Mission


We like our patients to feel at home when they come to our office – to enter as patients and leave as friends. Our purpose is to provide quality care for the entire family, with the advantages of modern technology paired with the comfort of an old-town private practice.

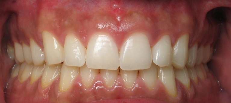
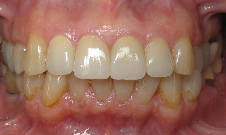
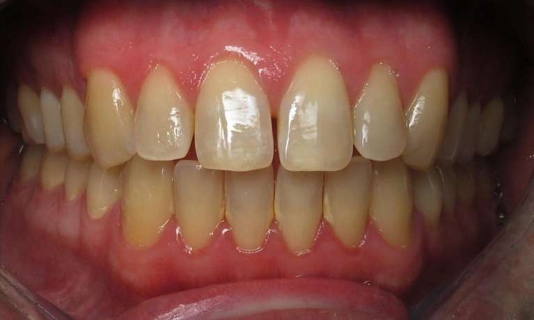
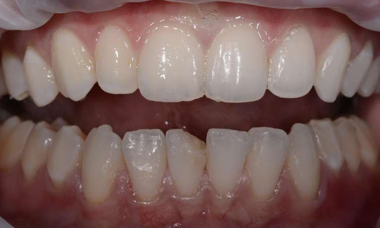
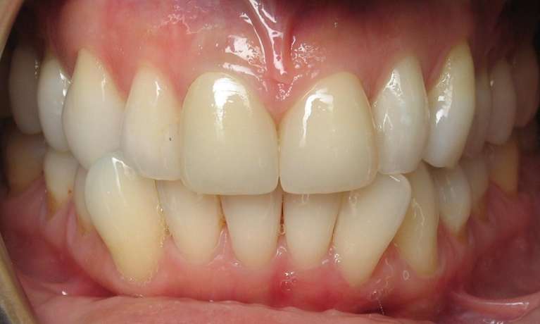
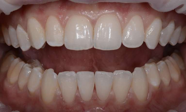
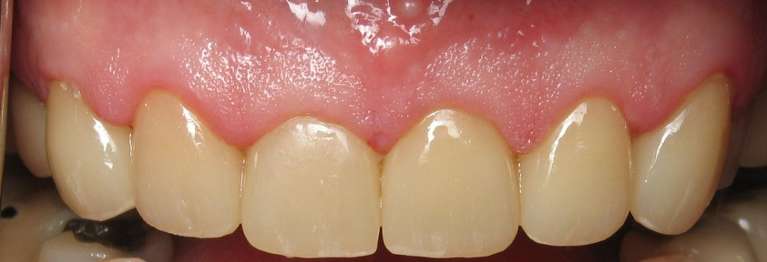
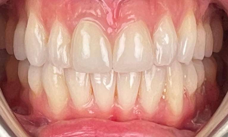
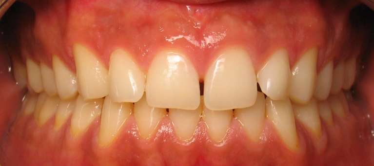
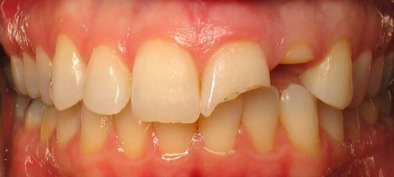
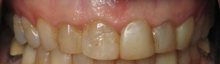
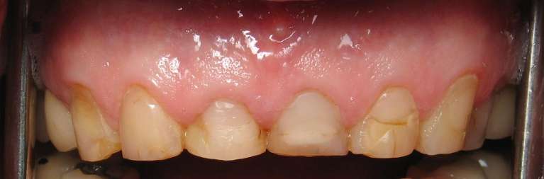
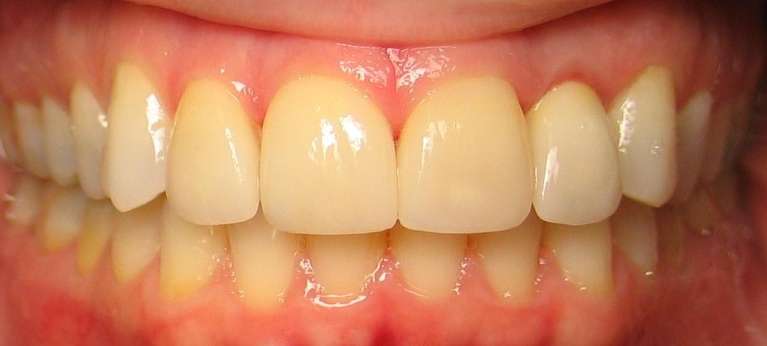
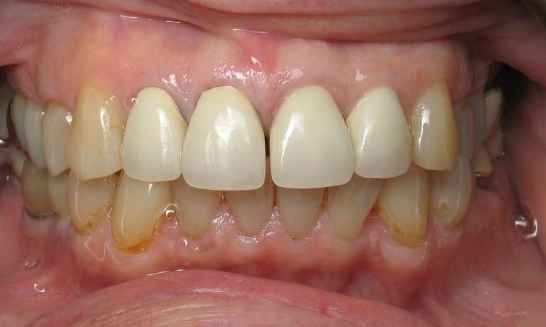
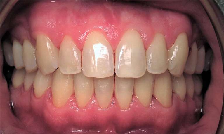
Smile Gallery

A wide and healthy smile is a wonderful indicator of how happy our patients are with our service. To show what we can do for you, we’ve put up some photos from patients who were particularly happy with our results. If there’s a procedure you’d like to discuss with Dr. Sahar Yaftaly, browse through our gallery of smiles, and let us know what we can do for you.

Ready to book an appointment?
Smile Gallery Categories
If you have difficulty using our website, please email us or call us at (805) 522-9242
View the ADA Accessibility Statement
Privacy Policy