Skip to main content Accessible Version

Meet Dr. Sahar Yaftaly, DMD


Dr. Sahar Yaftaly strives to help every patient achieve a healthy smile. Her passion for dentistry began by volunteering at the Free Clinic of Simi Valley where she met her mentor, Dr. Josie Dovidio, who inspired her to pursue a career in dentistry. Her desire is to make every patient feel as if they are part of the family and offers enthusiasm while providing high quality comprehensive dental care. Dr. Sahar Yaftaly is a Simi Valley native and is thrilled to be able to serve the community in which she was raised.

Our Mission


We like our patients to feel at home when they come to our office – to enter as patients and leave as friends. Our purpose is to provide quality care for the entire family, with the advantages of modern technology paired with the comfort of an old-town private practice.

Composite (Tooth-Colored) Fillings
Dentistry for a Beautiful Smile!

Tooth-colored fillings are durable and blend in with your natural tooth color for seamless results.

man with tooth-colored fillings in Simi Valley
Are Silver Fillings Darkening Your Smile?
We Can Help

Tooth-Colored Fillings in Simi Valley, CA

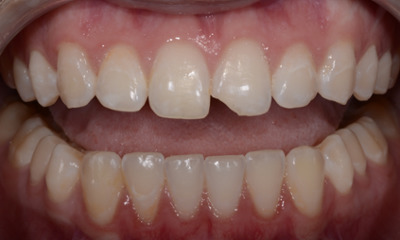
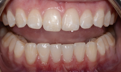
Cavities – holes in the tooth enamel – affect people of every age in this country. While tooth decay is a leading cause of cavities, you may find that you want to enhance your smile by repairing cracked or broken teeth or by renewing the appearance of teeth that are chipped, irregular, or have gaps. Our office offers composite “tooth-colored” fillings to fix cavities and improve your self-image.

While Dr. Sahar Yaftaly can help you decide if traditional amalgam or composite fillings are right for your situation, composite fillings have gained in popularity due to the fact that they are made from a resin that closely resembles the natural tooth color and can be designed to look like, and colored to match the exact shade of, your own teeth.

Treating Cavities in Simi Valley

Dr. Sahar Yaftaly giving patient a tooth colored fillings in simi valley caIf you visit our office regularly for check-ups and cleanings, you will have digital x-rays taken of your mouth by Dr. Yaftaly. The digital camera takes sharp, clear images that Dr. Yaftaly can upload to a computer monitor in the office in minutes to show you areas in your mouth that have been impacted by tooth decay. A proper course of treatment will be prescribed, and if there is a cavity, Dr. Yaftaly will recommend a filling. The area around your affected tooth will be numbed with a local anesthetic, and the decayed part will be removed. Dr. Yaftaly will place the filling material into the cavity in layers, curing each one with a special light to harden it, and then smooth the filling to fit the shape of your tooth.

Prevention is the best way to stave off tooth decay. Brushing and flossing, following a diet low in sugar, and visiting Dr. Yaftaly for regular cleanings can help to sustain your oral health. If you would like to discuss improving your dental care, contact our office and we will help you to plan an effective oral hygiene routine.

Benefits of Composite Fillings

Amalgam fillings have been the traditional choice to repair cavities for over 100 years. They are long-lasting and hold out under chewing and clenching forces. Despite this, you may prefer composite fillings to amalgam for esthetic reasons. Unlike amalgam fillings, composite tooth-colored fillings are indistinguishable from your natural teeth and will not discolor the surrounding tooth structure.

Another benefit of composite fillings is that the resin bonds to the inside of the tooth, providing additional strength and support. Less tooth structure needs to be removed, which also helps to protect the tooth. Amalgam fillings require more tooth structure to be excavated, and they contract and expand with extreme changes in temperature. The contractions and expansions can cause your tooth to crack and fracture, which can make it more susceptible to decay.

While amalgam fillings are an effective treatment for cavities, composite tooth-colored fillings may better suit your dental needs. Talk to Dr. Yaftaly if you need to have a tooth repaired or restored. She will give your situation careful consideration before recommending the best option available.

Meet Our Doctor:

Dr. Sahar Yaftaly DMD

Dr. Sahar Yaftaly was born in Granada Hills, CA and grew up in Simi Valley. Her passion for dentistry began by volunteering at the Free Clinic of Simi Valley where she met her mentor, Dr. Josie Dovidio, who inspired her to pursue a career in dentistry. After graduating from UCLA with an undergraduate degree in Psychobiology, Dr. Yaftaly attended the Arizona School of Dentistry & Oral Health in Mesa, AZ where she received her DMD (Doctor of Dental Medicine) and certificate in public ...

Do You Want a Metal-Free Option for Your Smile?
Contact Us